Protocol PCO-NzCT:  Partially Dentate / CBCT+Optical / Noisy CT scan

Sometimes a CBCT scan can have an undesirable amount of artifact (noise) in it.  Usually due to excessive metallic and zirconia restorations, this abundance of noise can actually prevent the merging of the patient’s model to the CBCT scan data.  When this is the case, we do need to use a scanning appliance that provides markers below the plane of the restorations’, even though the patient has teeth.

Facilities / equipment needed:

  • CBCT Scanner
  • Desktop Optical Scanner or Intraoral Scanner
  • Vacuum Former


Items required:


    For CBCT:

  • 1) Cotton rolls
  • 2) Suremark VF-20, V-20, or CF-23 marker tapes with dimensional ball
    • We use the V-20          <— (Click to zoom)
    • Here is a link to Suremark’s site page with these products on it: Suremark Dental Markers
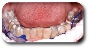
  • 3) Vacuum formed shell with markers affixed to it


    Clinically:

    1) Plaster model of the arch in question.

    2) Optional:  Model of opposing arch if articulator setup is to be used for the waxup.

Procedure:



Trumergence LLC // Timothy O. Hart DDS MS

Denver, CO

(720) 772-1975 // email